Loading...

Convitto Galuppi Logo Convitto Galuppi

Preparazione per l'installazione delle facette dentali

Redazione Avatar

di Redazione

01/09/2014

TITOLO
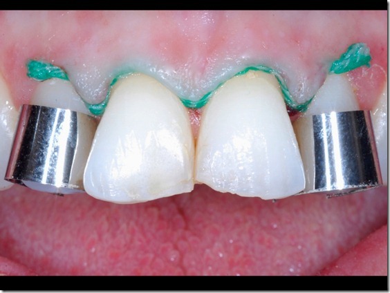
E' ormai noto che con il passare degli anni, l'uso frequente di antibiotici così come il consumo di alcol e caffè, il sorriso può perdere lo splendore che tutti desiderano mantenere. Con l'applicazione delle faccette dentali l'imbarazzante problema di denti gialli, forme o posizioni distorte degli stessi, vengono definitivamente risolti. Le faccette dentali, infatti, sono una sorta di mascherine in ceramica, molto sottili (tra 0,4 a 0,6 mm), che vengono applicate sul dente esteticamente deteriorato rendendolo così nuovamente bianco, perfetto ed apperentemente naturale. Prima dell'applicazione di queste lamine in ceramica il dente, o i denti da trattare, viene leggermente levigato asportando una piccola porzione di sostanza dentale senza che venga né danneggiato ultermiormente lo smalto naturale né intaccata la polpa. Dopo tale preparazione le faccette dentali vengono letteralmente incollate sul dente con del cemento resinoso diventando tutt'uno con lo stesso e rinforzando la struttura dentaria. Grazie proprio a questo elemento e da questo metodo di incollaggio, le faccette dentali risultano essere il sistema migliore e più duraturo nel tempo che garantisce la soluzione di un problema estetico. Per assicurare una durata più lunga è importante, ovviamente, che il medico appuri che siano stati rispettati i protocolli di fabbricazione delle faccette dentali così come il paziente dovrà prestare attenzione alla manutenzione nel corso del tempo. E' bene, infatti, che dopo i pasti vengano spazzolate regolarmente con movimenti verso il basso e non traumatici. Stesso discorso vale per l'utilizzo quotidiano del filo interdentale ma, cosa principale, è non dimenticare di averle nel momento in cui si deve addentare qualcosa di particolarmente duro. Una specifica da tenere presente è quella di quando e perché si applicano le faccette dentali. Ciò significa che non sono idonee a denti malati nella polpa e nella radice ma solo ed esclusivamente per denti esteticamente danneggiati ma sani. Via libera quindi all'applicazione delle faccette dentali in caso di discromie (macchie permanenti), difetti di colore, anomalia nelle forme (es. forma conoide dei canini), denti usurati o spezzati o erosi per ragioni come il bruxismo. Naturalmente, prima di sottoporsi all'applicazione delle faccette dentali, bisogna riferire al proprio medico dentista tutti gli eventuali atteggiamenti che potrebbero causare danni alle faccette stesse così da risolverli anticipatamente (es. pazienti con parafunzione). Per conoscere tutto sulle faccette dentali, visitate questo sito: http://implantologiadentale.it/faccette-dentali

Articolo Precedente

Casa in Brasile?

Redazione

Redazione